Case Studies
At Noah’s Ark, we are proud to showcase a selection of surgical case studies that highlight the expertise and compassionate care provided by our veterinary team. From routine procedures such as spays, neuters, and mass removals to more complex surgeries including orthopedic repairs, soft tissue reconstruction, and emergency interventions, each case reflects our commitment to the highest standards of veterinary medicine.
Soft Tissue Sarcoma
2 attempted removals by referring vet. Regrowth within 2 weeks.
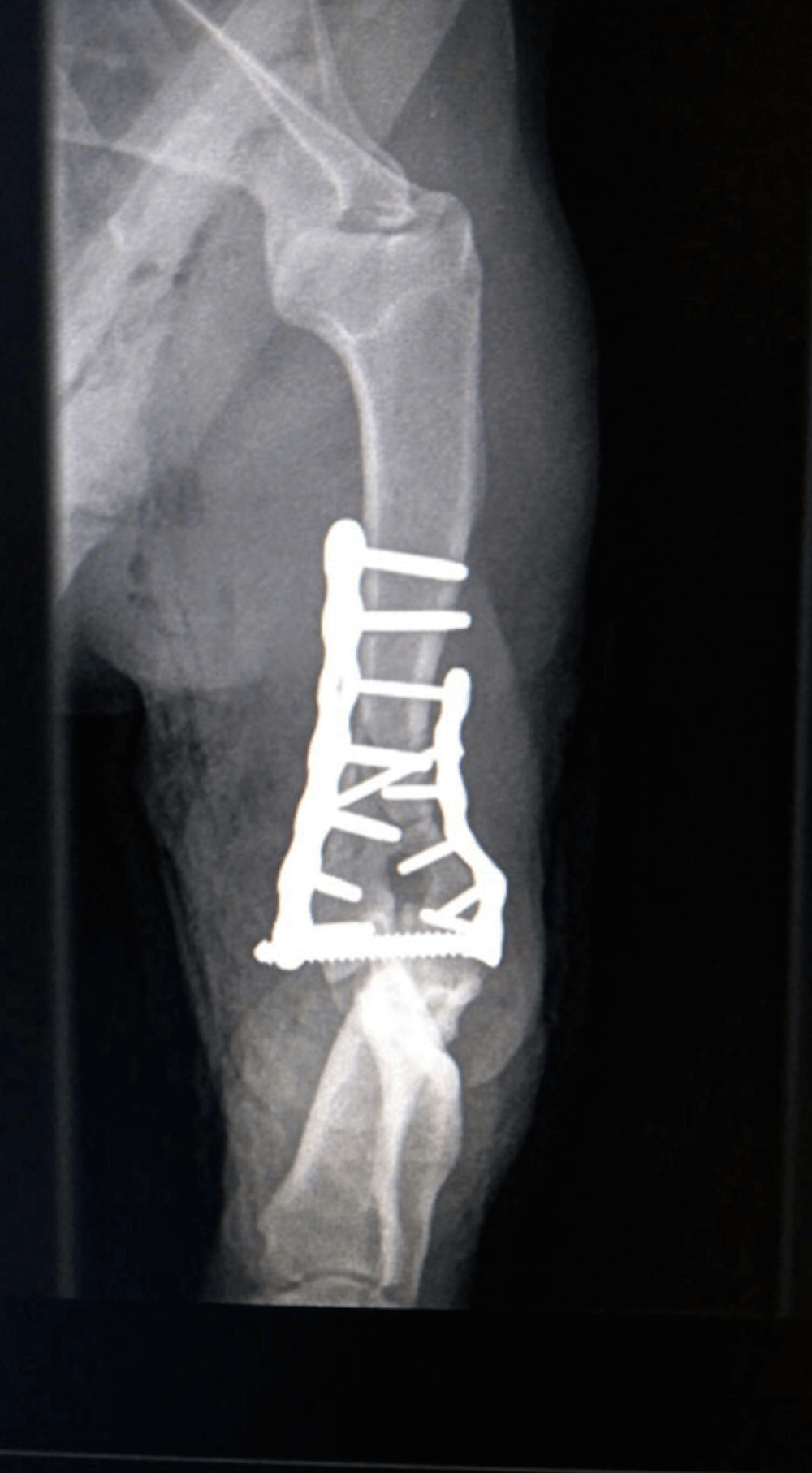
Metatarsal Plating
Example of metatarsal plating.
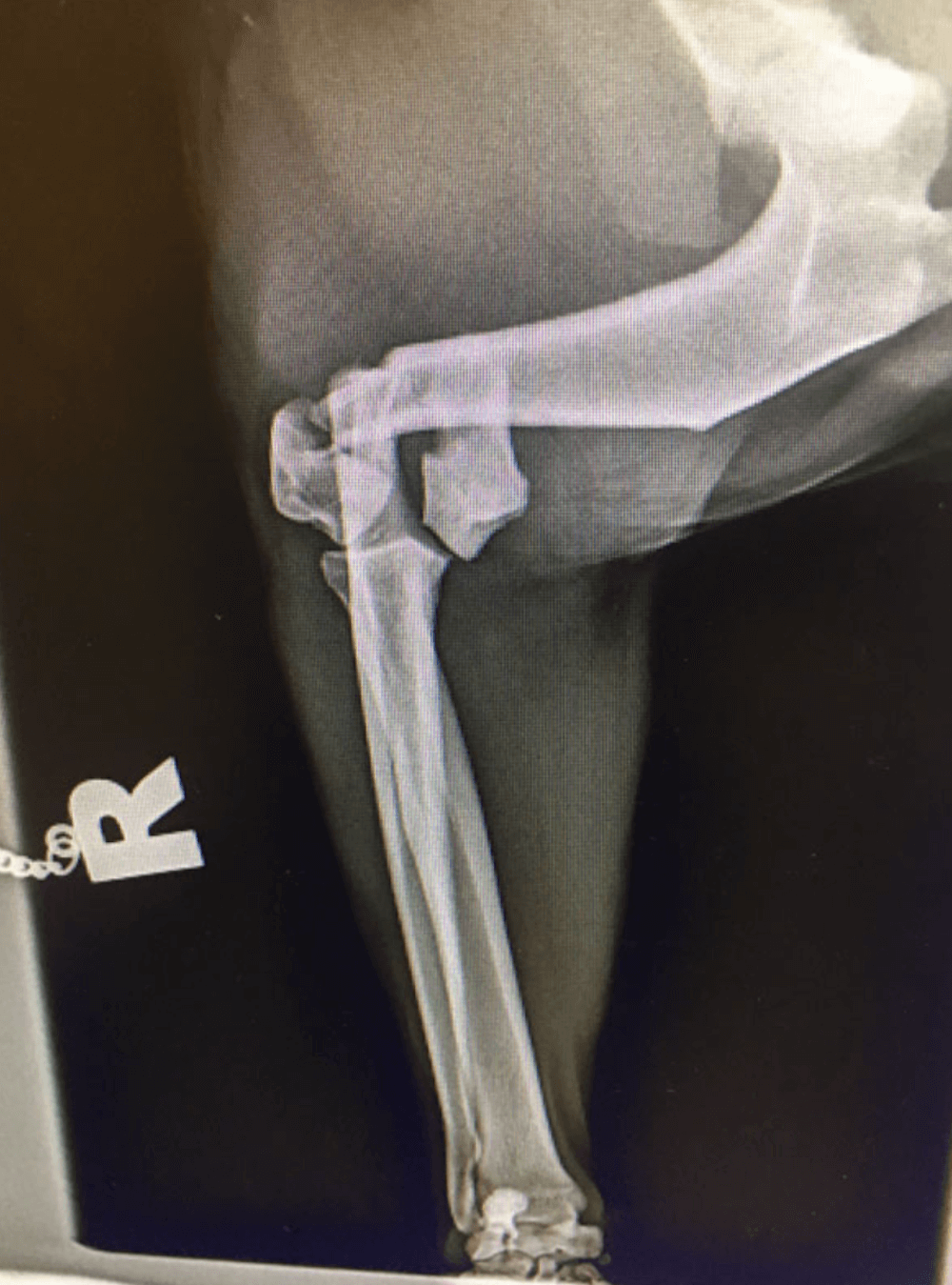
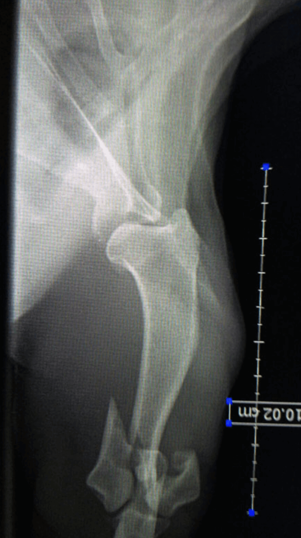
Y Fracture Repair
In a Springer Spaniel.
Tibia Fracture Repair
Radius and Ulna Fracture Repair
Example of Minimally Invasive Radius and Ulna Fracture Repair.
Cleft Palate Repair
In a pup.
Face Lift
Example of face lift in Shar Pei.
























